辽宁曙光整形外科医院口腔整形怎么样?本文将为您详细介绍辽宁曙光整形外科医院的口腔整形医生团队,并分析其收费标准。我们还将重点解析医院在牙齿种植、矫正等领域的技术特色,以及患者的真实评价反馈。通过这些信息,您能了解医院的专业水平和口碑信誉,为您的口腔健康决策提供参考。

一、辽宁曙光整形外科医院简介

辽宁曙光整形外科医院(原辽宁协和整形外科医院)成立于2016年,位于沈阳市沈河区文艺路31号,是一家专注于医疗美容与口腔整形的专业机构。医院拥有现代化诊疗设备,严格执行医疗质量标准,其口腔整形中心汇聚了经验丰富的医师团队,尤其在牙齿种植、矫正等领域具有突出技术优势。

二、辽宁曙光整形外科医院口腔整形怎么样?
辽宁曙光整形外科医院口腔整形项目口碑良好,其特色技术包括微创种植牙、隐形正畸等,术后效果自然稳定。医院医师团队操作规范,采用国际标准消毒流程,保障治疗安全性。通过患者反馈可见,多数人对医院的精细化操作、术后跟踪服务表示满意,尤其对种植牙的长期使用效果给予高度评价。

在患者评价方面,医院展现了较强的专业服务意识。部分患者提到医院的预约系统高效便捷,而针对个别术后适应期的问题,医护团队能及时提供专业指导。医院定期开展术后回访,这种负责任的态度进一步提升了患者的信任度。
三、辽宁曙光整形外科医院口腔技术特色:
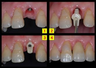
1. 微创即刻种植技术:采用数字化导板有效定位,实现当天拔牙当天种植,减少骨量流失,缩短治疗周期;
2. 全隐形矫正系统:引进国际主流隐形矫治器,兼顾美观与舒适度,可自行摘戴便于清洁;
3. 个性化修复方案:通过3D口腔扫描和面部分析,为每位患者定制符合咬合力学与美学需求的治疗计划。
四、辽宁曙光整形外科医院口腔医生推荐:魏晓晨
魏晓晨医师擅长口腔整形、牙齿种植及矫正项目,具有扎实的理论基础和临床经验。在种植牙领域,其采用的微创技术能有效减轻术后肿胀,提高种植体存活率;在正畸治疗中,注重功能与美学的平衡,尤其对复杂错颌畸形病例有独到解决方案。
韩国登腾种植牙:6800元起/颗
瑞士ITI种植牙:12800元起/颗
国产隐形矫正:19800元起
进口隐适美矫正:35000元起
全瓷贴面修复:1800元起/颗
微创拔牙:300元起/颗
在收费方面,辽宁曙光整形外科医院坚持透明定价原则,所有项目明码标价。价格区间根据材料品牌、治疗难度等因素合理划分,符合东北地区市场行情。医院定期推出公益诊疗活动,让更多患者能以实惠价格享受优质口腔服务。
以上关于【辽宁曙光整形外科医院口腔整形怎么样?收费价格:专业与性价比兼具】的内容仅供参考,具体治疗方案需经专业医师面诊后确定。建议提前预约咨询,获取个性化诊疗建议。
· 十堰市太和医院整形外科口碑好吗?技术=效果?
· 温州和平整形医院光子嫩肤技术怎么样?真人案例分享及医生团
· 深圳阳光医疗美容医院复合隆胸技术怎么样?哪位医生更好?
· 杭州洁铭威塑医疗美容医院技术怎么样?擅长、特色项目简单介
· 武汉洪山月目医疗美容门诊部外切去眼袋技术怎么样?专业医生
· 金华永康光大医疗美容医院轮廓塑形怎么样?真实案例分享与医
推荐医生
推荐医院

版权归斗美变美信息网所有@ 备案号:蜀ICP备2022020885号-2